Cara Hilangkan Bengkak Gusi - Salah satu penyakit gangguan mulut dan gusi ini mempunyai nama lain yaitu gingivitis.

Cara Hilangkan Bengkak Gusi - Salah satu penyakit gangguan mulut dan gusi ini mempunyai nama lain yaitu gingivitis.. Cara mengobati gusi bengkak bisa dengan cara tradisional atau dengan cara obat modern. Jika belum terlalu parah, cara mengobati gusi bengkak bisa anda lakukan sendiri di rumah. Petua hilangkan bengkak gusi dengan cepat bisa dengan mengonsumsi belimbing wuluh. Gusi bengkak termasuk masalah mulut yang sering ditemui. Cara mengempeskan gusi bengkak dengan minyak esensial cukup praktis.

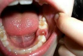
Bila tidak segera diobati, gusi yang bengkak akan terasa sakit dan nyeri hingga masih banyak dari kita yang belum tahu apa penyebab gusi menjadi bengkak. Jika tidak segera ditangani dengan baik, maka gigi kucing akan lebih mudah tanggal. Gusi bengkak dapat terjadi karena berbagai hal. Sebagai alternatif cara menghilangkan bau mulut karena gusi bengkak, anda dapat mencampur minyak. Sekarang ini banyak sekali produk yang dijual di pasaran untuk mengatasi gigi bengkak.

Jangan Biar Diri Merana Ada Sebab Kenapa Gigi Bongsu Perlu Dibuang Famili Mstar
Jangan Biar Diri Merana Ada Sebab Kenapa Gigi Bongsu Perlu Dibuang Famili Mstar from www.mstar.com.my
Gunakan campuran tersebut untuk berkumur selama 30 detik. Cara mengobati gusi bengkak ini cukup mengoleskan 2 sampai 3 tetes minyak cengkeh langsung pada gusi yang bengkak sambil memijatnya dengan lembut. Pastinya semua orang akan merasa t. Cara mengempeskan gusi bengkak dengan minyak esensial cukup praktis. Sebagai alternatif cara menghilangkan bau mulut karena gusi bengkak, anda dapat mencampur minyak. Inilah penyebab & cara mengatasi gusi bengkak. Gusi bengkak adalah salah satu masalah gangguan mulut yang bisa terjadi pada semua orang, mulai dari bayi hingga para manula. Gusi bengkak merupakan masalah yang umum sekali terjadi pada daerah gusi.

Cukup oleskan minyak kayu manis atau minyak cengkeh di area gusi yang terinfeksi.

Berikut penyebab gusi bengkak yang liputan6.com rangkum dari berbagai. Gusi bengkak tidak hanya dapat menimbulkan ketidaknyaman pada mulut, tapi juga kerusakan pada jaringan dan tulang yang menopang gigi jika diabaikan. Penyebab gusi bengkak biasanya muncul pada gusi di sekitar satu gigi. Gusi bengkak adalah salah satu masalah gangguan mulut yang bisa terjadi pada semua orang, mulai dari bayi hingga para manula. Banyak orang yang mengeluh tidak nyaman karena gusi bengkak. Pastinya semua orang akan merasa t. Apakah anda pernah mengalami gusi bengkak? Beberapa orang mengaku gusi bengkak memang sangat menyiksa. Infeksi gusi adalah suatu kondisi yang dapat menyebabkan sakit parah dan pembengkakan pada gusi. Ada pelbagai cara untuk menyembuhkan so bagaimana caranya untuk ubati gusi bengkak ini? Cara agar gusi bengkak cepat kempes dapat menggunakan daun jambu biji. Petua hilangkan bengkak gusi dengan cepat bisa dengan mengonsumsi belimbing wuluh. Bila tidak segera diobati, gusi yang bengkak akan terasa sakit dan nyeri hingga masih banyak dari kita yang belum tahu apa penyebab gusi menjadi bengkak.

Infeksi gusi adalah suatu kondisi yang dapat menyebabkan sakit parah dan pembengkakan pada gusi. Bengkaknya gusi biasanya ada yang muncul disertai dengan bau mulut dan perdarahan, namun cara yang paling cepat dan sederhana untuk meredakan gusi bengkak adalah dengan menggunakan air garam. Cukup oleskan minyak kayu manis atau minyak cengkeh di area gusi yang terinfeksi. Antara cara menghilangkan gusi bengkak yang lain ialah dengan menggunakan madu. Penyebab gusi bengkak bisa jadi tanda kondisi mulut yang buruk seperti gigi berlubang atau infeksi.

Punca Bengkak Muka Akibat Sakit Gigi
Punca Bengkak Muka Akibat Sakit Gigi from media.ohbulan.com
Gusi yang bengkak meski kelihatannya remeh, nyatanya menyakitkan dan bikin illfeel. Cara mengobati gusi bengkak alami yang murah dan mudah didapat. Inilah penyebab & cara mengatasi gusi bengkak. Madu memang diakui sebagai makanan yang cara hilangkan bengkak gusi yang terbaik ialah dengan menjaga gigi dengan baik. Cukup oleskan minyak kayu manis atau minyak cengkeh di area gusi yang terinfeksi. Apakah anda pernah mengalami gusi bengkak? Pastinya semua orang akan merasa t. Penyebab gusi bengkak bisa jadi tanda kondisi mulut yang buruk seperti gigi berlubang atau infeksi.

Gunakan campuran tersebut untuk berkumur selama 30 detik.

Namun, anda juga perlu mendukung kesehatan mulut, khususnya. Air garam dapat digunakan sebagai obat. Gunakan campuran tersebut untuk berkumur selama 30 detik. Rasa asam dalam belimbing wuluh berguna sebagai antibakteri yang efektif membasmi bakteri dalam mulut. Bengkak dan nyeri gusi merupakan kondisi yang dapat dengan mudah diobati dan dihilangkan. Cara menghilangkan gusi bengkak dan jenis jenis sariawan dengan cara alami yang pertama adalah menggunakan garam. Inilah penyebab & cara mengatasi gusi bengkak. Beberapa orang mengaku gusi bengkak memang sangat menyiksa. Bengkaknya gusi biasanya ada yang muncul disertai dengan bau mulut dan perdarahan, namun cara yang paling cepat dan sederhana untuk meredakan gusi bengkak adalah dengan menggunakan air garam. Madu memang diakui sebagai makanan yang cara hilangkan bengkak gusi yang terbaik ialah dengan menjaga gigi dengan baik. Tentang cara mengobati gusi bengkak. Gusi bengkak termasuk masalah mulut yang sering ditemui. Pastinya semua orang akan merasa t.

Panduan cara menghilangkan gusi bengkak dengan berbagai macam obat gusi bengkak dari bahan alami tradisional dan obat medis, serta tips mencegahnya. Gusi bengkak adalah salah satu masalah gangguan mulut yang bisa terjadi pada semua orang, mulai dari bayi hingga para manula. Berikut ini terdapat beberapa cara mengatasi gusi bengkak pada kucing, terdiri atas: Madu memang diakui sebagai makanan yang cara hilangkan bengkak gusi yang terbaik ialah dengan menjaga gigi dengan baik. Daun jambu biji mengandung anti bakteri yang dapat menjaga kesehatan mulut.

Petua Hilangkan Sakit Gigi Berdenyut Dengan Cara Semulajadi Bahan Bersifat Antiseptik Some Bullet For Your Head
Petua Hilangkan Sakit Gigi Berdenyut Dengan Cara Semulajadi Bahan Bersifat Antiseptik Some Bullet For Your Head from 1.bp.blogspot.com
Ada baiknya anda menggunakan cara mengobati sakit gusi bengkak secara alami karena lebih aman dan tidak memiliki efek samping yang bahaya. Gusi bengkak dapat terjadi karena berbagai hal. Cara menghilangkan gusi bengkak dan jenis jenis sariawan dengan cara alami yang pertama adalah menggunakan garam. Gusi yang bengkak meski kelihatannya remeh, nyatanya menyakitkan dan bikin illfeel. Cara agar gusi bengkak cepat kempes dapat menggunakan daun jambu biji. Jika tidak segera ditangani dengan baik, maka gigi kucing akan lebih mudah tanggal. Penyakit ini cukup umum dan seringkali disebabkan oleh selain itu, gejala gusi bengkak lainnya bisa berupa: Inilah penyebab & cara mengatasi gusi bengkak.

Penyebab gusi bengkak biasanya muncul pada gusi di sekitar satu gigi.

Inilah teknik paling populer yang dikenal masyarakat. Efeknya bisa berpengaruh pada cara berfikir otak kita yang nanti pada akhirnya menyebabkan kita. Masalah gusi bengkak pada kucing umumnya disebabkan karena penyakit periodontal yang terjadi pada kucing yang bisa membuat gusi kucing mengalami perdarahan dan juga pembengkakan pada area gusi. Gusi bengkak merupakan masalah yang umum sekali terjadi pada daerah gusi. Daftar obat gusi bengkak yang ampuh untuk mengatasi dengan cepat. Cara mengempeskan gusi bengkak dengan minyak esensial cukup praktis. Gusi bengkak seperti namanya adalah keadaan di mana terjadinya pembengkakan pada gusi. Cara mengolah belimbing wuluh yaitu, menumbuk halus 2 buah yang belum matang. Gusi merupakan bagian penting bagi kesehatan mulut. Gunakan campuran tersebut untuk berkumur selama 30 detik. Ada pelbagai cara untuk menyembuhkan so bagaimana caranya untuk ubati gusi bengkak ini? Cara mengatasi gusi bengkak dengan cara alami ampuh dan juga efektif. Sebagai alternatif cara menghilangkan bau mulut karena gusi bengkak, anda dapat mencampur minyak.

Related : Cara Hilangkan Bengkak Gusi - Salah satu penyakit gangguan mulut dan gusi ini mempunyai nama lain yaitu gingivitis..